干细胞临床
全球 !中国团队用 iPS细胞技术令37岁帕金森患者“功能性治愈”
37岁的李女士做梦也不会想到,自己会在22岁时患上帕金森病。她更不会想到,日后自己将成为全球 位被“治愈”的早发型帕金森病(EOPD)患者。
近日,中国科学技术大学附属 医院(安徽省立医院)副院长、神经病学专家施炯教授带队,利用异体再生的干细胞移植疗法,让包括李女士在内的6位帕金森病患者重归正常生活。
值得一提的是,患病15年的李女士从完成此次治疗到宣布“治愈”,中间仅隔了3个月。接下来,若疗效能在更大规模的临床试验中复制,将自此改写帕金森病的治疗格局——仅需一次治疗,就可以重塑大脑网络连接,让患者避免最终瘫痪的命运。
患病15年后,她获得功能性治愈
相关数据显示,我国帕金森病患病人数高达400万,约占全球患者数的1/2。他们无法被“治愈”,长期服药虽能部分缓解症状,但无法阻止疾病持续发展,最终患者将完全失去行动能力。
大部分帕金森病患者约在60岁左右发病,但李女士的情况有些不同。从22岁起,她发现自己双手移动变得迟缓,随着时间推移演变成了不受控制的抖动,身体也愈发僵硬。直到2024年来到安徽省立医院时,药物已难以控制李女士的病情,她无法如同龄人一般正常工作和生活。
李女士此次移植的原理,是基于诱导多能干细胞(iPSC)具有无限增殖的特性,能分化成生物体所有的功能细胞类型。“就像是一颗种子,我们把它‘种’进患者大脑,让它分化成全新的多巴胺能神经元细胞,重塑大脑网络的连接。
经过一系列详细的术前评估,今年6月11日,安徽省立医院的医生们利用神经导航机器人,将一根导管精准地插入李女士大脑的特定区域,随后注入提前制备好的、由iPSC分化而来的全新多巴胺能神经前体细胞——NCR201。
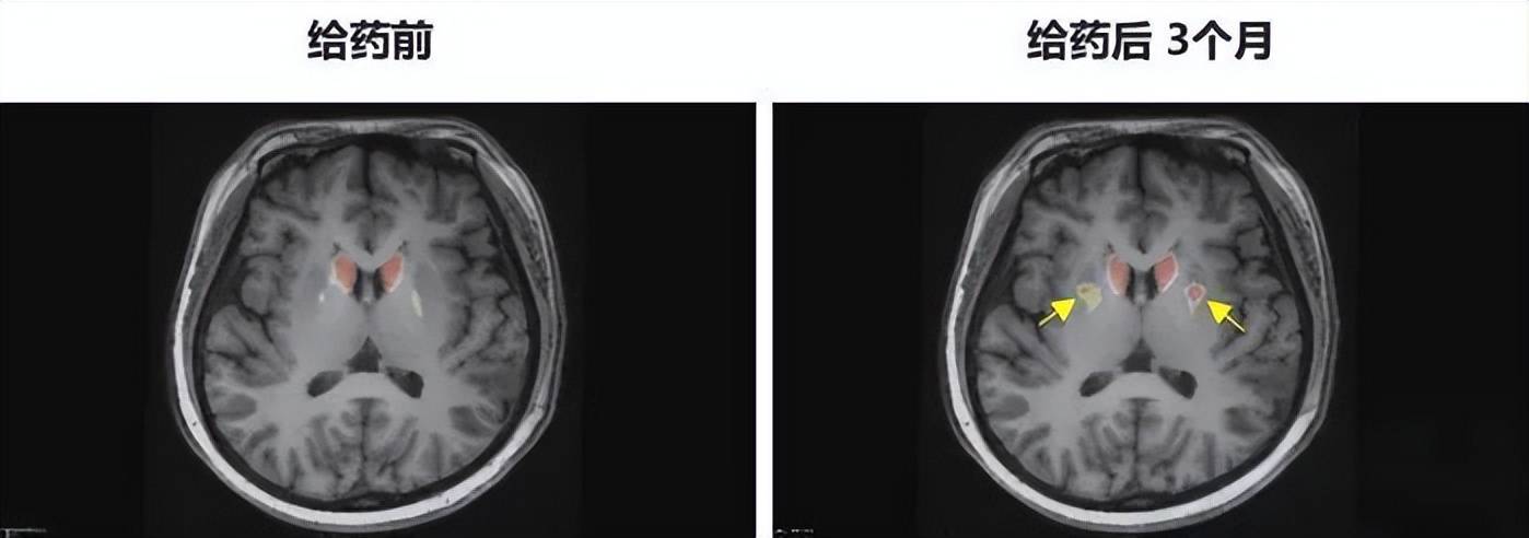
▲ PET-DAT/MRI融合图像术前与术后三个月对比
手术非常成功,奇迹也随之发生。术后的前两个月,李女士静止性震颤、僵直等症状明显减轻,帕金森病评定量表得分从术前62分(重度功能障碍)逐渐降至28分。到了9月上旬,李女士的“关期”完全消失,量表评分降至12分,基本接近常人,每日是否服用既往药物已无明显差异。影像学评估显示,全新的多巴胺能神经元在她的大脑中成功定植、发挥活性,标志着初步实现了功能性治愈。
关键技术解析:什么是诱导多能干细胞?
诱导多能干细胞(iPSC),其本质是通过特定技术手段(如化学小分子诱导、重组蛋白等),将皮肤、血液等普通体细胞 “重编程” 为具有胚胎干细胞特性的多能干细胞。它的核心优势在于:
-
伦理安全性:无需破坏胚胎,通过患者自体细胞制备可规避免疫排斥风险;
-
分化全能性:可定向分化为神经细胞、心肌细胞等各类体细胞,如同 “种子细胞” 可培育成特定功能细胞;
-
临床可控性:目前中国科研团队已开发出 “双药水诱导法”,通过调节细胞染色质状态实现高效重编程,解决了传统基因导入法的致癌隐患。
▲ iPSC的产生与分化
当前,帕金森病的治疗主要是药物替代疗法和脑深部刺激手术(DBS),但无论是药物还是手术,主要是对症治疗,只能改善患者的临床表现,并不能阻止病情的发展,更无法实现治愈。而以干细胞为代表的新型生物疗法应运而生,有望改写神经退行性疾病的治疗格局。
相关关键词:
- 相关推荐MORE+
-
12-08
干细胞可改善中风后遗症患者神经功能,且鞘
11月24日,国际行业期刊《Stem Cells Translational Medicine》发表了一篇“鞘内注射与静脉注射脐带间充质干细胞对缺血性卒中后遗症的影响”的文章。最终研究结果表明:鞘内和静脉注射脐带间充质干细胞均能显著改善患者的神经功能恢复和生活质量,且两种途径的疗...
-
12-04
李湘云教授:探索干细胞技术,点亮脑病儿童
在郑大诊所的诊室里,一位和蔼可亲的医生正专注地为一位患者做检查。她就是李湘云教授,原郑州大学第三附属医院、河南省脑瘫医院康复中心科主任。退休后的她并未选择安享晚年,而是继续奋战在脑病康复一线,带领团队探索干细胞技术在脑瘫、自闭症、脑卒中后遗症等脑部疾病治疗中的新应用。1.医者初心...
-
11-03
从“延缓磨损”到“促进再生”:干细胞如何
骨关节炎,常被称为“不死的癌症”,正困扰着中国数千万患者。数据显示,60岁以上人群中约50%受其困扰,75岁以上高龄群体的患病率更是高达80%。不仅如此,该病已不仅限于老年人,运动员、体力劳动者等因关节长期高负荷或反复损伤,也成为早发的高危人群。面对日益严峻的发病趋势,传统治疗手...
-
10-24
一年回输3-6针间充质干细胞,55%的皮
“夜里挠破皮,早上醒来血渍斑斑。”这是许多特应性皮炎(AD)患者的日常写照。反复的瘙痒、皮屑、红肿,不仅让皮肤崩溃,更让情绪和睡眠陷入失控。许多人尝试过激素膏、免疫抑制剂、生物制剂,短期见效,却总是复发。皮炎似乎成了一场“永不止痒的循环”。但就在近年来,一种源自再生医学领域的新疗...



